Contrast-enhanced ultrasound (CEUS) helps streamline hospital workflows, according to survey results presented September 10 at the International Contrast Ultrasound Society (ICUS) meeting in Chicago.
"Contrast-enhanced ultrasound gives patients a quick and very accurate diagnosis, and that helps hospitals deliver better and more cost-effective care while also moving patients through the system more efficiently," said Jordan Strom, MD, of Harvard Medical School in Boston. Strom is an officer of the ICUS.
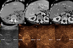
CEUS uses microbubble ultrasound contrast agents that are infused intravenously during an ultrasound exam to enhance images, Strom and colleagues explained. These agents do not contain iodine or gadolinium -- and thus are not nephrotoxic -- and can provide a same-day diagnosis and mitigate delays and costs associated with MR and CT imaging.
The investigators conducted a survey of 104 CEUS practitioners, researchers, and ultrasound industry professionals. It was administered by the ICUS and by Inteleos, the governing and managing organization for three organizations: the American Registry for Diagnostic Medical Sonography (ARDMS), the Alliance for Physician Certification and Advancement (APCA), and the Point-of-Care Ultrasound (POCUS) Certification Academy.
Overall, the survey found that survey respondents described CEUS as helpful for "[improving workflow] efficiencies because it does not require sedation, anesthesia, or the need to transport patients to 'big scanners.'" It also found that 79% of clinician respondents believed that having an IV-trained sonographer available increases CEUS utilization.
In an ICUS statement, Stephanie Wilson, MD, of the University of Calgary in Canada, noted that CEUS "is recognized as the problem solver for all indeterminate CT and MR scans of the liver and kidney." Wilson is co-president of the ICUS.
"Our referring doctors love the immediate results that we can get from CEUS, and so do our patients, because if the results of the scan are good, the patients will have peace of mind, and if the results are concerning, their therapy will not be delayed while they wait for additional unnecessary testing," she said.



















