
The U.S. Food and Drug Administration (FDA) said it has cleared artificial intelligence (AI) software developer Caption Health's Caption Guidance echocardiography AI software.
Caption Guidance is designed to enable cardiac ultrasound exams to be performed by healthcare practitioners at various skill levels and includes real-time guidance, automated interpretation, and quality assessment capabilities, according to Caption Health (formerly known as Bay Labs).
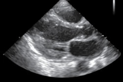
The FDA said that the software can be used to acquire standard views of the heart from different angles for 2D transthoracic echocardiography exams in adult patients.
The AI interface provides real-time feedback on potential image quality, can capture video clips, and automatically saves the best video clip acquired from a particular view, the FDA said.
The software can currently be used with a specific ultrasound system from Teratech, but it has the potential to be used with other ultrasound imaging systems that are consistent with the range of systems used as part of its development and testing, according to the FDA.


















