Nuclear Medicine: Page 24
Eckert & Ziegler partners with Alpha-9 Theranostics
March 22, 2022
Navidea reports revenue declines in Q4, all of 2021
March 22, 2022
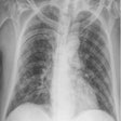
Tc-99m SPECT/CT imaging detects COVID-19
March 17, 2022
Dutch isotope reactor restarts
March 16, 2022
AC Immune show first images from alpha-synuclein PET
March 15, 2022
IBA and Tractebel partner on construction projects
March 14, 2022
SNMMI names radiopharma therapy centers of excellence
March 10, 2022
NorthStar, Convergent ink Ac-225 supply deal
March 8, 2022
Blue Earth appoints new executives
February 27, 2022
DMS Health to acquire Nuclear Sonics
February 24, 2022












