
PET/MRI has shown that neuroreceptors in the brains of people with obesity appear to respond differently to food cues those who are not obese, according to research presented June 27 at the Society for Nuclear Medicine and Molecular Imaging (SNMMI) annual meeting.
The finding adds to our basic understanding of the mechanisms underlying obesity and reveals a potential new target for treatments, said Swen Hesse, MD, of the University of Leipzig in Germany.
"The search for interventions to achieve sustainable weight loss reaches high priority including thorough investigation of biological and behavioral mechanisms in individuals with obesity," Hesse said.
Obesity is considered a global epidemic and poses a major challenge for healthcare systems worldwide, with more than 1 billion people considered obese. The risks of heart attack, stroke, and type 2 diabetes are significantly increased in people with obesity.
In this study, Hesse and colleagues investigated receptors in the brain's cholinergic system, which plays a significant role in the brain's reward system. Specifically, they targeted a type of nicotinic acetylcholine receptor called alpha-4 beta-2 nicotinic (a4b2), which among other functions is involved in how people decide which foods are most desirable, Hesse explained.
"We aimed to measure changes in a4b2 nicotinic acetylcholine receptors (nAChR) found in the cholinergic system in response to high-caloric food cues," he said.
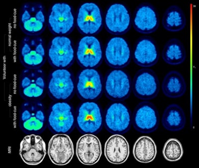
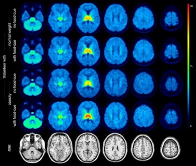
The group enrolled 15 people with obesity (average body mass index [BMI], 38 +/- 3 kg/m2) and 16 normal-weight people for PET/MRI scans with F-18 flubatine, a radiotracer developed more than 20 years ago to bind to a4b2 receptors. Participants underwent hybrid PET/MRI twice on separate days, once while in a resting state and once under "food cue stimulation" -- the subjects were shown food pictures just prior to the scans, Hesse said.

In the resting state, no significant difference in total distribution volume of F-18 flubatine was noted between the groups. However, while viewing photos of food, the total distribution volumes (VT) of F-18 flubatine was higher in obese subjects in the brain's thalamus region where a4b2 receptors are located compared to the control group (28.8 ± 2.1 vs. 25.1 ± 1.9, p = 0.03), according to the findings.
"These changes are associated with an attentional bias toward incentive food cues and likely changes in sensory perception," Hesse noted.
Further research is warranted, Hesse said, Ultimately, the research shows that PET/MRI can reveal novel pathways in the brain's reward center in people with obesity, with the findings representing a model of "higher distractibility" towards rewarding food cues, he concluded.