
ST. LOUIS - Trial results presented on Monday at the Society of Nuclear Medicine and Molecular Imaging (SNMMI) meeting show that rubidium-82 (Rb-82) PET outperformed thallium-201 (Tl-201) SPECT for diagnosing obstructive coronary artery disease -- all while exposing patients to less radiation.
The Alternative Radiopharmaceutical for Myocardial Imaging (ARMI) multicenter clinical trial found that Rb-82 PET imaging had greater sensitivity and specificity than Tl-201 SPECT in patients with at least 50% stenosis. The results also confirmed that Rb-82 PET achieved its high degree of accuracy with a lower radiation dose.
"Importantly, the total radiation dose for the whole rest and stress rubidium scan is less than 2 mSv, which is five to 10 times less than current SPECT imaging using technetium-99m [Tc-99m] or thallium," said study co-author Dr. Robert deKemp, head imaging physicist with the University of Ottawa Heart Institute.
The ARMI trial is designed to evaluate Rb-82 as a viable alternative to Tc-99m and Tl-201 in myocardial perfusion imaging for coronary artery disease.
Rb-82 dilemma
Rb-82 PET is not often used by cardiac facilities because there is a much larger installed base of SPECT cameras, and SPECT isotopes have a long history of effective use for coronary disease, deKemp told AuntMinnie.com.
PET cameras have been used mainly for oncology imaging with FDG; fewer systems are dedicated to cardiac imaging. Ottawa Heart Institute, for example, has two SPECT scanners for perfusion imaging with Tc-99m and Tl-201 and one PET scanner for Rb-82 imaging. In terms of total volume, about one-third of the facility's 6,000 annual studies are Rb-82 PET and two-thirds are Tc-99m SPECT.
The impetus for the trial began in 2009, when the Canadian Institutes of Health Research (CIHR) sent out a call to investigators to identify alternative isotopes for myocardial perfusion imaging due to the severe shortage of Tc-99m.
The Ottawa Heart Institute's Cardiac PET Center had already developed its rubidium generator technology about 15 years ago and had been manufacturing its own generators in-house. (That technology was licensed to radiopharmaceutical firm Jubilant DraxImage in 2007.)
ARMI funding
Subsequently, the Ottawa Heart Institute received slightly more than $1 million (Canadian) in CIHR research funding to share its technology with a number of other healthcare centers to evaluate the use of rubidium for myocardial perfusion imaging. The facility was also tasked with comparing Rb-82 PET and Tl-201 SPECT for the diagnosis of coronary artery disease.
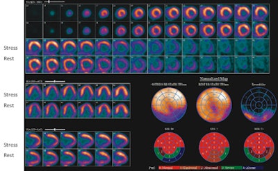
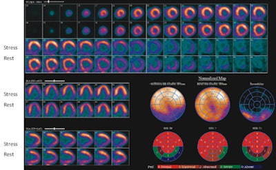
In the current study, 80 normal subjects (40 men and 40 women) with a low likelihood of coronary artery disease underwent Rb-82 PET or Tl-201 SPECT stress perfusion imaging during the Tc-99m isotope crisis, when supplies of technetium were low due to a disruption in the production of molybdenum, a precursor isotope.
In addition, 50 Rb-82 PET and 74 Tl-201 SPECT patients with normal left-ventricular ejection fraction (LVEF) of 40% or greater and no previous revascularization were used to assess sensitivity and specificity for the detection of 50% and 70% stenosis.
In the combined pool of both subject groups, computer-automated Rb-82 PET readings resulted in sensitivity of 83% for participants with stenosis of 50%, compared with 56% sensitivity for Tl-201 SPECT. Specificity was 94% for Rb-82 PET, compared with specificity of 85% for Tl-201 SPECT.
In cases of 70% stenosis, Rb-82-PET reached sensitivity of 90%, compared with 57% for Tl-201 SPECT. Specificity was 93% for Rb-82 PET, compared with 70% for Tl-201 SPECT.

Lead authorJennifer Renaud, a cardiac research image analyst, said that while accuracy results for the computerized evaluations were as expected, the results from a visual analysis of Rb-82 and Tl-201 images were more surprising, as accuracy was closer between the two isotopes.
She attributed the results to interpreter experience. "When they are doing visual interpretation, they also are including things that are not necessarily in automated computer scores, such as wall motion," Renaud said.
DeKemp concurred: "It seems to suggest that an experienced reader interpreting the thallium [image] is really necessary to get good performance with thallium, whereas the computer evaluation with a normal database approach seems to be easier to implement and has more of an advantage perhaps with Rb-82 PET," he said.
The ARMI trial will proceed to a third phase to assess cost-effectiveness and resource utilization as they relate to health and economic outcomes. The fourth phase will look at clinical outcomes as patients are followed up for two years to evaluate the ability to predict adverse cardiac events, such as cardiac death, myocardial infarction, and revascularization.
In a substudy, the researchers plan to determine if blood-flow quantification and blood-flow reserve imaging can be done routinely with Rb-82 PET to direct patients toward appropriate therapy.
Study disclosures
Dr. Robert deKemp and Jennifer Renaud are both consultants for Jubilant DraxImage.