
Researchers at the Joslin Diabetes Center in Boston have successfully used PET/CT to confirm the presence of brown adipose tissue, also know as brown fat, in adults. The surprising discovery could lead to new treatments both for obesity and type 2 diabetes.
The study also found defined regions of functionally active brown fat more frequently in women than in men, and noted that the amount in adults is inversely correlated with body mass index, especially in older people, suggesting a potential role of brown fat in adult human metabolism.
The Joslin study contradicts previous research indicating that brown fat exists in humans only during childhood and disappears, for the most part, with age. The Joslin researchers also showed that brown fat is metabolically active.
The findings are published in the April 9, 2009, issue of the New England Journal of Medicine (Vol. 360:15, pp. 1509-1517). Lead author Dr. Aaron Cypess, Ph.D., an endocrinologist and research associate at Joslin, credits the brown fat discoveries to the combination of functional imaging with PET and the structural anatomical information from CT.
"PET/CT gives you the first chance to see brown fat throughout the entire body," Cypess said. "Before, you would have to do a biopsy or autopsy to see the whole body that way."
'One in a million'
The first part of the retrospective study was to demonstrate PET/CT's ability to detect the presence of brown fat. "We did that by finding a person -- one in a million, as it turned out -- who had a PET/CT scan [for a tumor], followed by an operation to remove it, followed by saved tissue from the brown fat," Cypess said.
The PET/CT scan of the 67-year-old woman showed a tumor with the density of brown fat, but with greater than typical FDG uptake for subcutaneous or visceral fat depots. "PET tells us where the very highly metabolic tissue is," he added. "In our study, we saw a percentage of the people studied had brown fat you could see, with the likelihood that more people have it."
In total, the researchers analyzed 3,640 consecutive FDG-PET/CT scans performed for various reasons in 1,972 patients for the presence of substantial depots of putative brown adipose tissue.
The study defined the depots as collections of tissue that were more than 4 mm in diameter, had the density of adipose tissue according to CT scans, and had maximal standardized uptake values of FDG of at least 2 g/mL, which indicates high metabolic activity.
PET/CT discoveries
The PET/CT scans identified substantial areas of brown adipose tissue from the anterior neck to the thorax. Positive scans were seen in 76 of 1,013 women (7.5%), compared with 30 of 959 men (3.1%). Women also had a greater mass of brown adipose tissue and higher FDG uptake activity.
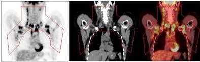
![]() |
| Brown adipose tissue (BAT) volume and activity can be quantified in a "fat map." Regions of interest (red outline) include the principal cervical, supraclavicular, and superior mediastinal BAT depots, from left to right, in the PET, CT, and fused PET/CT images. Image courtesy of Dr. Aaron Cypess, Joslin Diabetes Center. |
The researchers also found that the probability for detecting brown fat was inversely correlated with an adult's age, outdoor temperature at the time of the scan, beta-blocker use, and, among older patients, body mass index.
One surprising result was the significant disparity of brown fat discovered in women versus men. Cypess said more research will be needed to determine why that was the case.
"Does it relate to the fact that women have less muscle, so they need more brown fat to stay warm, because muscle keeps you warm?" he speculated. "Is it because women have more of a certain kind of fat than brown fat? We don't know, but it brings up a whole new area of questions, because women and men certainly have different rates of heart disease."
In addition, younger patients were more likely to have larger amounts of brown fat, and the brown fat was more active during colder weather, confirming the purpose of brown fat to burn energy to generate heat within a person's body. Brown fat was also more common in adults who were thin and had normal blood glucose levels.
Additional research
Given those findings, Cypess opined that there could be other potentially beneficial biological uses. "The big issue is: If brown fat is capable of burning calories, could this be used as an adjunct to treatments for obesity?" he said. "You could have a whole new way of treating obesity -- which is to increase energy expenditure, rather than reducing intake. That's the only way to treat obesity and, as a result, diabetes, heart disease, and all the other things that come from it."
Cypess plans to continue the research as a prospective study to investigate issues such as how brown fat may correlate with insulin sensitivity. "Brown fat may directly or indirectly affect the body's sensitivity to insulin," he added, "and insulin sensitivity is what is lost in most cases of type 2 diabetes," the most common form of diabetes in the U.S.
The research also may lead to other mechanisms, such as certain drugs, that may increase brown fat activity in humans. If brown fat activity can be created by pharmacological intervention, other drugs potentially may be developed to combat obesity and other conditions.
By Wayne Forrest
AuntMinnie.com staff writer
April 22, 2009
Related Reading
IGRT corrects for prostate shift in obese patients during treatment, March 23, 2009
Obesity, overweight associated with increased prostate cancer mortality, November 19, 2007
Adipose tissue stimulates bone growth in children, July 26, 2006
Single-slice MR assesses overweight youth, meaning CT could too, June 12, 2003
Copyright © 2009 AuntMinnie.com





















