
BOSTON - Initial results from a multicenter study on myocardial perfusion imaging suggest that images from a novel ultrafast cardiac (UFC) gamma camera are comparable to those from standard dual-detector cameras, according to research presented at the American Society of Nuclear Cardiology (ASNC) meeting.
Researchers from Emory University in Atlanta; the Mayo Clinic in Rochester, MN; and Rambam University in Haifa, Israel, collaborated on the study and noted that the UFC camera's faster image acquisition time could reduce radiation exposure for patients. Study results were presented on Saturday at the ASNC show by Dr. Fábio Peroba Esteves, director of nuclear cardiology at Emory.
The goal of the study was to prospectively compare myocardial perfusion SPECT imaging using the UFC camera with a standard dual-detector SPECT camera (Ventri, GE Healthcare, Chalfont St. Giles, U.K.) in patients with suspected coronary artery disease.
UFC camera
The UFC camera is equipped with cadmium zinc telluride solid-state detectors, which are designed to provide greater spatial and energy resolution in a much smaller size compared to sodium iodide detectors. The camera has no moving parts, and the collimator is focused on the left ventricle.
All three institutions have installed the UFC camera and are using the same imaging protocol. Patients are imaged in a supine position with their arms placed over their heads.
![]() |
| The UFC scanner features CZT solid-state detector modules with the collimator focused on the left ventricle. Images courtesy of Dr. Fábio Peroba Esteves, Emory University. |
So far, 126 patients have been enrolled in the study. Each patient has undergone one-day technetium-99 (Tc-99) tetrofosmin rest and stress myocardial perfusion imaging. Patients initially received a resting dose of 10-15 mCi, depending on weight. Forty-five minutes later, a four-minute rest UFC scan was performed, immediately followed by a rest SPECT acquisition, which took between 14 and 23 minutes, depending on the camera used.
Two hours following rest and injection, patients were stressed either pharmacologically or on a treadmill. A dose of 30-40 mCi Tc-99 tetrofosmin was administered, again based on weight, followed by a two-minute poststress image acquisition on the UFC camera and 12 to 17 minutes of stress image acquisition on the standard camera.
Blinded reads
Two readers blinded to the clinical information interpreted the scans using a standard five-point grading scale from "definitely normal" to "definitely abnormal" to determine the presence or absence of coronary artery disease on a vascular territory level. Image quality was rated on a three-point scale of "excellent," "adequate," or "suboptimal."
The patients had a mean age of 63 years, and 76 patients (60%) were male. All patients had a high prevalence of cardiac risk factors, such as hypertension, diabetes, lipidemia, and smoking history. In addition, 16 patients (13%) had prior myocardial infarction and 43 patients (34%) had a history of prior revascularization.
Using the standard SPECT scans as the gold standard, a vast majority of scans were graded as "excellent" or "adequate" for both the UFC and the standard SPECT camera, with 85% of UFC scans rated as "excellent," compared to 63% with the standard SPECT camera.
The group reported spatial resolution (tangential) of 4.3 mm with the UFC camera, compared to 7.5 mm for the standard SPECT camera, a 1.7-fold improvement. They also reported energy resolution of 5.7% for the UFC system at 140 keV full-width half maximum, versus 9.4% for the standard gamma camera, a 1.65-fold improvement.
Image agreement
Scans from the UFC camera also agreed with results from the standard SPECT camera for the absence or presence of stress perfusion defects in the left ventricle a majority of the time. "Whether the patient was judged to be normal or abnormal based on standard SPECT scans, about 85% of them were in agreement with the UFC scans, with a total of 107 of 126 patients overall," Esteves said.
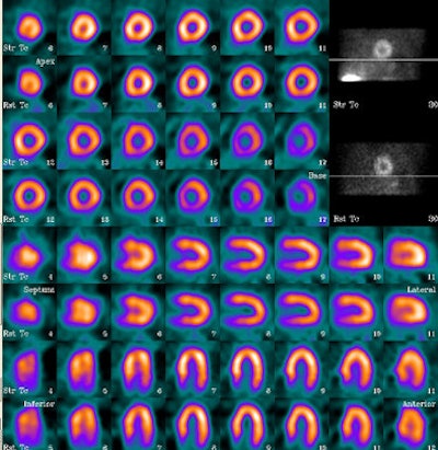
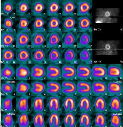
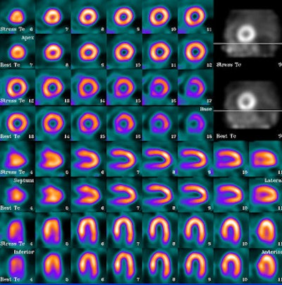
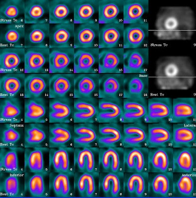
![]() |
| Clinical images compare results from a standard SPECT camera (above) with images from the UFC camera (below) on a male patient. |
![]() |
When readers compared scans for vascular territories, the agreement between the UFC camera and standard SPECT camera ranged from the high 80% to high 90% range throughout all vascular distributions. The only exception was the left anterior descending artery (LAD). "These are patients who were judged to be abnormal on the LAD on the standard SPECT, and 75% of them were found to be abnormal on UFC," Esteves added.
Researchers concluded that preliminary data suggest that the diagnostic performance of the UFC camera is indeed comparable to that of standard dual-detector SPECT cameras. In addition, image acquisitions could be done in a much shorter time because of the UFC camera's improved count sensitivity, which is at least five or six times above that of standard SPECT scans.
"As we move forward, with the improved count sensitivity, there is the potential of lowering the radiation dose to these patients and/or decreasing camera time," Esteves noted. "The decreased camera time will lead to minimized motion in these patients [with fewer] artifacts and defects. The improved energy resolution will probably give us the ability to do simultaneous dual-isotope acquisition. We are also looking forward to cardiac flow reserve measurements on these patients."
By Wayne Forrest
AuntMinnie.com staff writer
September 16, 2008
Related Reading
Dual-source CT edges into cardiac SPECT turf, March 6, 2008
Israeli group test-drives 64-slice SPECT/CT system for cardiac imaging, June 6, 2007
Study correlates CTA to angiography, myocardial perfusion SPECT, May 25, 2007
Stress MPI with Tc-99m SPECT identifies high-risk obese patients, September 1, 2006
PET, SPECT measures of LVEF have superior predictive value, March 13, 2006
Copyright © 2008 AuntMinnie.com























