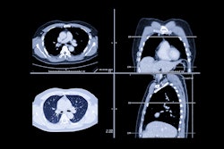
The U.S. Food and Drug Administration (FDA) has granted clearance for U.K. AI software developer Brainomix's 360 e-Lung image processing algorithm.
Entry into the lung imaging space expands the company's footprint in medical imaging beyond its stroke-related applications. Brainomix said that it is developing novel lung imaging biomarkers, such as its weighted reticulovascular score to stratify patients at risk of idiopathic pulmonary fibrosis progression.
e-Lung consists of thousands of CT scans from academic institutions, according to the company.
Brainomix plans to present its latest e-Lung data at the American Thoracic Society (ATS) annual conference, which starts today in San Diego.




















