
Up to one-third of adult women with ulnar fractures visible on x-ray may be the victims of intimate partner violence, according to new research published April 3 in the Journal of the American College of Radiology.
Injuries from intimate partner violence have a characteristic appearance on radiographs if radiologists know what to look for, according to a research team led by Dr. Bharti Khurana from Brigham and Women's Hospital in Boston.
"These acts of criminal violence extend beyond obvious suffering and loss, often instigating a repeating cycle of physical and mental trauma for victims, their children, and other family members," the authors wrote. "In an attempt to stem this tide, radiologists are, for the first time, finding new ways to recognize common intimate partner violence injuries, identify abuse, and address its mortal threat."
The researchers focused on one particular type of ulnar fracture called a "nightstick fracture," in which people may defend their faces from a police nightstick by moving their forearms in front of them, noting that it may be possible to differentiate between a fracture sustained due to self-defense versus an accidental injury.
"In addition to this, it may be possible to objectively predict the likelihood of intimate partner violence in a woman with an isolated ulnar fracture, by reviewing her historical imaging data," they said.
In the current study, electronic health records for 62 women between 2005 and 2019 were examined, including records that included radiographs of ulnar fractures. Researchers found that 12 of these patients were confirmed to have experienced intimate partner violence, while eight more were labeled "possible."
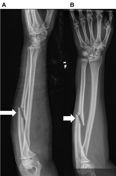
A 42-year-old woman with a history of “hit by boyfriend.” (A) Frontal and (B) lateral radiographs of the left forearm show a nondisplaced fracture of the mid-diaphysis of the ulna (wide bold arrows). There is an old healed fracture of the distal radius with hardware. Images courtesy of the Journal of the American College of Radiology.Further analysis of the cases of domestic violence indicates that nondisplaced fractures of the ulna were telltale signs of abuse: 95% of women who were victims had nondisplaced isolated ulnar fractures, compared with 43% of women who were not victims.
Of the 34 subjects whose injuries were confirmed not to be a result of intimate partner violence, 21 reported being injured due to a motor vehicle accident. Only two such cases reported suffering from a fall.
"Interestingly, 50% of patients with suspected intimate partner violence and who never disclosed intimate partner violence reported their injury due to a fall," the authors noted.
A 34-year-old woman with a history of motor vehicle collision. (A) Lateral and (B) frontal radiographs of the left forearm show a comminuted mildly displaced fracture of the mid-diaphysis of the left ulna (wide bold arrows).Confirmed cases of intimate partner violence in the study were also associated with homelessness, with 45.5% of women in the confirmed category being reported as homeless (p < 0.01).
Researchers said healthcare providers are in a unique position to help diagnose dangerous intimate relationships and potentially break the cycle of abuse.
"With so much at stake, it is critical to define objective signs to aid early intimate partner violence identification for patients who feel uncomfortable reporting due to shame, fear, or dependency, in addition to patients with mental illness or disability who are incapable of reporting themselves," the authors wrote. "Even though two-thirds of our patients did not have intimate partner violence, it is still worth discussing the possibility of this with each patient."
They also emphasized the need for state-level integration of electronic health records for patients to identify such violence, similar to opioid addiction detections, citing how some patients had no previous radiological studies. This is consistent with the knowledge that victims are known to visit different healthcare centers for their injuries with radiological studies performed at various institutions.
"This also underscores the importance of radiologists and clinicians working together in teams to improve intimate partner violence identification," Khurana and colleagues wrote.



















